

ベッドで眠れるようになりました!
30代、多忙な経営者として働いていた頃から腰痛を繰り返すようになった。年に一度はぎっくり腰を起こしていたが仕事を止めるわけにはいかず、特別な治療やリハビリは行わずに痛みが落ち着くのを待つという対応が続いていた。「そのうち治る」が習慣になっていた。
40代でMRI検査を受け、腰椎すべり症と診断された。さらにさかのぼると、小学2年生の頃に腰椎分離症を指摘されていたことも思い出された。「将来制限が出るかもしれない」と言われた記憶はどこかに残っていたが、それでも身体を鍛えスポーツを続けることで不安を打ち消してきた。症状はあっても、まだ「動ける」という実感が支えになっていた。
転機は昨年8月、久しぶりに行ったゴルフだった。右股関節付け根から膝にかけて痛みとしびれが出現し月末にはピークに達した。その後症状は脛まで広がり、これまで経験したことのない強さの痛みとなった。
整形外科での仙骨注射、鎮痛薬、大学病院での神経ブロック注射。できることは一通り試したが症状はほとんど変わらなかった。夜は眠れず痛みのことばかり考える時間が増えていった。
仰向けで寝ることができなくなり、夜は布団に横になること自体が苦痛になっていった。痛みを避ける姿勢を探すうちに、家族の入浴後の浴槽に入り上半身を起こした姿勢でもたれかかるようにして眠るようになった。
浴槽の縁に背を預け、膝を軽く曲げた体勢であれば痛みがわずかに和らぐ。その姿勢のまま短い睡眠をつなぐ日々が続いた。布団で眠ることができないという現実は、身体の限界を突きつけられる出来事でもあった。
歩く距離も短くなり杖が手放せなくなった。これまで「鍛えて守ってきた腰」が急に支えを失ったように感じられ、将来への不安が強くなっていった。
手術を勧められたが「本当にそれしかないのか」という思いも残っていた。身体の問題であるはずなのに気持ちまで落ち込んでいく感覚があったという。
知人が同様の脊柱管狭窄症をカイロプラクティックで改善したと聞き「少しでも楽になれば」という思いで来院された。
仙骨全体にぶよぶよした浮腫
腰椎棘突起間の浮腫
左乳様突起周囲のうっすらとした浮腫感
頚椎・腰椎ともに椎間板の慢性度が高い事、日常生活にも大きな支障をきたしている状態であったため、可能な限り頻度を確保する形で施術を開始した。
2週目(2回目のアジャストメント)には、右大腿前面に広がっていたしびれが大きく軽減し右膝周囲に熱感を感じるようになった。ベッド上では左半身を下にした姿勢であれば横になることが可能となったが、寝返り時の痛みで覚醒する状態が続いていた。
3週目(3回目のアジャストメント)には、しびれは残存しているものの明らかな変化を実感できるようになり、夜間痛による中途覚醒が減少した。4時間程度の連続睡眠が可能となり、長時間の歩行では症状が強まるものの杖を使わずに歩行できる場面も増えてきた。
7週目(6回目のアジャストメント)には、右膝周囲の感覚鈍麻はほぼ消失し、痛み止めの服用量も半分まで減量することができた。
現在は症状の大幅な変化により日常生活の質は改善したが、椎間板の慢性度が高いことから神経修復には時間を要すると判断し現在も継続的なケアを行っている。
今回の脊柱管狭窄症に伴う腰痛および右下肢症状は、長年にわたり蓄積してきた骨盤部の不安定性と神経機能の低下を背景に出現していたものと考えられる。
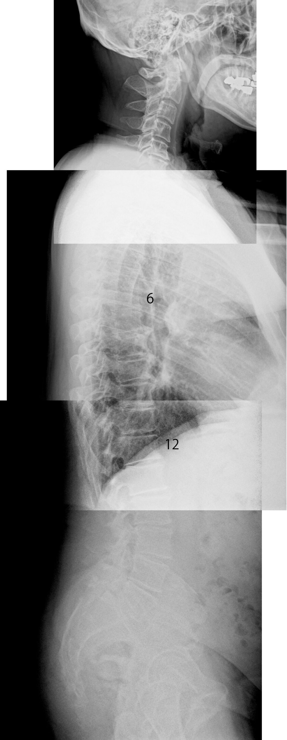
画像上ではL5すべり症およびL5/S1椎間板の高度変性が確認され、L2/3レベルにも圧迫骨折様の所見がみられた。一方で、膀胱直腸障害や両下肢の著明な筋力低下といった重篤な馬尾症状は認められていない。仰臥位で症状が増悪し腰部を屈曲させた姿勢や上半身を起こした姿勢で軽減する点、間欠性跛行が出現していた点から、神経への持続的な機械的負荷に加え神経機能そのものの低下が関与していた可能性が高い。
初診時には右仙腸関節の可動域制限と仙骨部の浮腫、さらに上部頸椎の機能制限が確認された。骨盤部と上部頸椎はいずれも自律神経調整と深く関わる部位であり、これらに同時に機能低下が存在していたことは、身体が慢性的に交感神経優位へ傾いていた状態を示唆する。交感神経優位が続くと、血流調整や炎症のコントロール、神経修復といった回復機能が十分に働きにくくなる。その結果構造的変化を抱える部位では神経が過敏化しやすく、症状が強く出やすい状態となる。
またL5のすべり症と腰椎前弯の増大は骨盤部の力学的不安定性と密接に関連する。仙腸関節の機能不全が存在すると荷重の分散がうまく行われず、腰部へストレスが集中しやすい。その状態が長期にわたり続いたことで脊柱管内スペースの狭小化に加え、神経組織への慢性的な刺激が積み重なっていた可能性がある。
アジャストメントにより骨盤部および上部頸椎の神経負担が段階的に軽減されると、比較的早期から右下肢の感覚異常に変化がみられ、睡眠時間の延長や歩行距離の改善が確認された。これは構造そのものが急激に変化したというよりも、神経機能が安定し始めたことを反映していると考えられる。
症状の変化が段階的かつ持続的にみられた経過は、神経系の回復が生理的なプロセスに沿って進んでいたことを示している。痛みの軽減だけでなく、睡眠や歩行といった日常生活の基本機能が回復した点は重要である。
構造を直接変えたのではなく、神経の働きを整えた結果として身体の反応が変化したという点は極めて重要である。本症例は、構造的変化が強くみられるケースであっても神経機能に目を向けることで身体の反応が変化していく可能性を示した症例である。


執筆者塩川カイロプラクティック大木 信之
千葉県成田市出身。初めてのカイロプラクティックを受診後カイロプラクティックの可能性を直感し、長年従事した仕事を辞め4年制の東京カレッジオブカイロプラクティックに入学。様々なテクニックを学ぶ中で最も本質的なガンステッドカイロプラクティックを追求していくことを決意する。卒業後名古屋市内のガンステッドカイロプラクティック専門院を経て塩川カイロプラクティックに勤務。